Dental Crown & Bridge in Dubai

Affordable Dental Crown & Bridges

Dental Crown and Bridge Dubai

Advanced Crown & Bridge Solutions

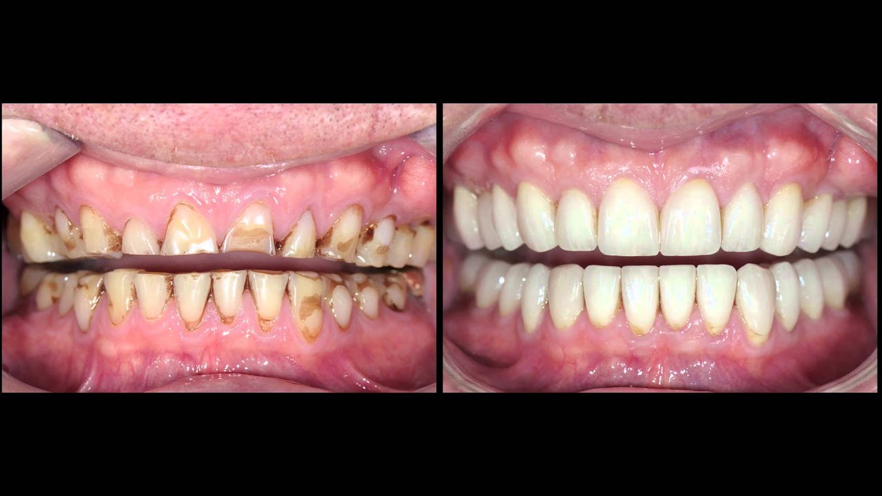
Dental Crown & Bridge treatment restores damaged or missing teeth using durable, natural-looking materials. At Cosmocare Medical Center, we ensure precision fitting, comfort, and long-lasting results, helping you smile with confidence and enjoy optimal oral health.

Dental Bridge Dubai
Zirconia Crown Dubai

Benefits of Crown & Bridge

Restores Tooth Strength

Protects weak teeth and prevents further structural damage.

Improves Smile Appearance

Natural shade matching ensures a seamless, beautiful smile.

Enhances Chewing Function

Restores proper bite alignment, making eating more comfortable.

Prevents Teeth Shifting

Maintains alignment of surrounding teeth after tooth loss.

Durable & Long-Lasting

High-quality materials ensure crowns and bridges last for years.

Boosts Confidence

Restores a natural smile and enhances overall facial aesthetics.

Ready to Restore Your Smile?

Book your expert consultation today at Cosmocare Medical Center and get the smile you deserve.

Book Appointment